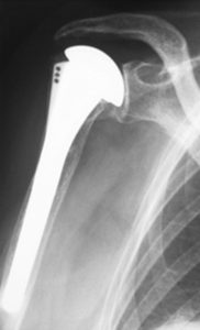
Hemi means half, and arthroplasty means joint replacement. Hemiarthroplasty is a surgical procedure that replaces one end of a bone on one side of a joint with a prosthesis, while leaving the other half intact. It is the treatment for some fractures of the hip and shoulder.
Hip Arthoplasty replaces only the ball portion of the hip joint, not the socket portion. In total hip replacement the socket is also replaced.

There are several different options available for the type of device to be used, a bipolar type, whichhas a femoral head that swivels during movement.
Indications:
- Severe 4 part or 3 part shoulder (proximal humeral) fractures
- Osteoarthritis
- Avascular necrosis